Tumortherapie

Als Tumor bezeichnet man gutartige oder bösartige Neubildungen am Körper. Diese können sichtbar, z.B. in der Haut, der Mundhöhle oder der Gesäugeleiste auftreten, aber auch versteckt im Bauchraum, der Lunge oder den Knochen lokalisiert sein. Tumoren bei Tieren treten immer häufiger auf. Es gibt jedoch schon viele diagnostische und therapeutische Möglichkeiten. Um die Tumorart zu bestimmen haben wir folgende Methoden zur Auswahl:

  • Punktion (Feinnadelaspiration) und mikroskopische Bestimmung der Zellart (Zytologie); so ist ein Ergebnis oft schon in der Sprechstunde möglich.
  • Entnahme einer größeren Gewebeprobe (Biopsie) und histologische Untersuchung im LaborUltraschalluntersuchung
  • Röntgen


Nach der Diagnose der Tumorart wird die sinnvollste Therapiemethode festgelegt. Dazu zählen:

  • Operation
  • konservative, medikamentelle Therapie
  • Chemotherapie

Bilder:

Hauttumor bei einer Katze
Bioptatentnahme
Knochentumor beim Meerschweinchen
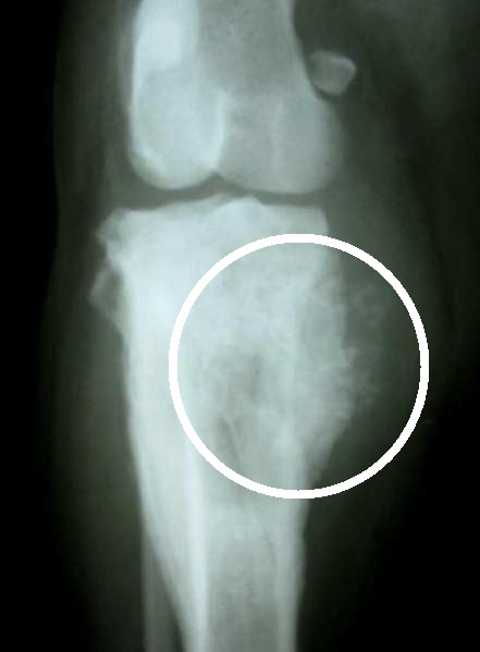
Knochentumor beim Hund
Tumor-Hautlappenplastik
Chemotherapie

Fritz-Meyer-Scharffenberg-Weg 12a • 18109 Rostock/Groß Klein • Tel.: +49 0381 1201549 • Fax.: +49 0381 1217688